最新研究:熬夜,又多了这些不可逆的代价
来源:倍可亲(backchina.com)熬夜,熬小夜,熬大夜,熬大大大大大夜,把一切懊悔和难受留给熬夜后的第二天。
熬夜的问题,打开这篇文章的朋友可能深有体会:费钱(深夜冲动下单)、破坏人际关系(朋友圈发深情文案),肉眼可见地伤身(像被打了一样)……
但很少有人知道,熬夜会对身体造成更深层次的伤害。
熬大夜的第二天,身体可以说是默默启动了“灾后应急模式”,从激素到细胞线粒体,从脑脊液到基因表达,都会发生明显的变化。
一
感觉脑子糊住了,注意力难以集中
每次熬夜起来后,都感觉脑子上“罩了个塑料袋”,反应慢、已读乱回、注意力集中不了一点。
别说你还真别说,熬夜后感觉“灵魂出窍”,很可能是因为你的大脑是真的“出逃了”。
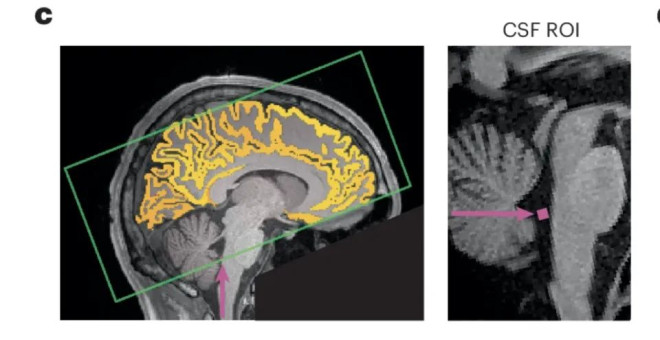
2025 年 10 月发表在《自然神经科学》杂志上的一篇研究指出,熬夜后的注意力不集中,可能是因为你的大脑正在给自己“洗澡”。
脑科学界这几年有个新理论:大脑会在白天产生代谢废物,在睡眠时通过脑脊液不断冲刷、清除掉,从而让大脑再次恢复清洁。
比如大名鼎鼎的大脑代谢废物——阿尔茨海默症的罪魁祸首——淀粉样蛋白,就是在这个过程中被清除干净的。

图源:丁香医生设计团队
正常情况下,脑子会在深度睡眠时清除掉代谢废物,但熬夜没睡够,大脑又不能放着不洗,那就只能“白天上班时偷偷洗澡”了。

图源:丁香医生设计团队
研究人员找来了 26 位成年人,让他们在一次实验中睡得很好,另一次则整晚不睡。不出意外,熬夜的那次,简单的注意力测试表现很差。
有趣的是,通过脑部 MRI 扫描发现:
每次注意力“断片”的前 2 秒,脑脊液会被冲出脑底;而注意力恢复后的 1 秒,又会被重新吸回大脑。
也就是说,你在发呆、走神的时候,大脑正在进行“紧急冲洗”。
研究者形容:“这就像洗衣机——先加水,再搅动、再排水。注意力走神时,大脑正好在‘搅’。

可能有朋友觉得,断片就断片吧,废物不是一样被清除干净了?
长期下去真不行,大脑会越来越不灵敏的。
研究人员也说了:睡觉时清理才是最优方案,强行白天补洗,不仅效率低,还直接影响认知表现。
二
脾气暴躁、人紧张、容易暴饮暴食
熬夜之后,脾气极差、易燃易爆,心里难受胃口却极好,在感觉极度脆弱,但还是想打爆全世界的同时,竟然能吃下一卡车的高糖高脂食物……

图源:丁香医生设计团队
这,主要是身体的压力激素——皮质醇,在悄悄作祟。
皮质醇是身体应对压力的“警报器”,本来是帮我们应急用的。但熬夜把这个系统打乱,就会出现:
● 情绪起伏大,容易烦躁;
● 特别想吃高糖高脂的食物;
● 胰岛素敏感性下降,更容易囤脂、升血糖。
有研究发现,只要一晚没睡好,皮质醇就会受到影响——
● 不管是只睡 4 小时,还是彻底通宵,第二天晚上的皮质醇水平都会显著升高——分别比正常睡眠状态高出 37% 和 45%。[4]
● 原本在晚上下降的皮质醇,熬夜后会“拖延”至少 1 小时才进入静息状态,让人处于一种收不住的紧张感中。

图源:丁香医生设计团队
上面是熬完一个大夜后,马上能感受到的变化。如果你经常熬夜,身体更深层,更基础的零件(包括细胞线粒体与基因)都会受到损伤。
三
皮肤衰老加速,真的会“垮脸”
脸暗、肤色发黄、出油爆痘、毛孔粗大、眼下浮肿……这些“熬夜脸”的表现,是真·皮肤加速衰老的结果。
研究发现,长期睡不好的人,皮肤衰老更快、屏障更弱、自我评价也更差,从里到外都受影响。

图源:丁香医生设计团队
睡得好的人
● 皮肤老化程度更轻:临床评分更低,内源性(自身)老化明显较轻;
● 皮肤屏障更强韧:即使在人为破坏后(贴片剥离),72 小时内的修复力比睡不好的人高出 30%;
● 对紫外线的反应恢复得更快:晒红后 24 小时,红斑改善更明显;
● 外貌满意度更高:更觉得自己“看起来不错”。
睡不好的人
● 更显著的老化迹象:肤色不均、干纹细纹明显;
● 皮肤更敏感脆弱:水分流失更高,修复速度更慢;
● 更容易不满意自己的外貌:自评分数更低,看起来累,心情也跟着差。
背后的机制也被科学研究揭示:熬夜会打乱皮肤的修复节律、降低抗氧化能力、影响胶原蛋白生成,让皮肤变得干燥、松弛、长痘、敏感,宛如“开启加速老化模式”。
四
经常熬夜睡不够
细胞都在替你喊“救命”
长期睡眠不足,身体里的各个环节像多米诺骨牌倒塌。特别是身体的地基——基因,细胞,都受影响。
英国萨里大学发表在《PNAS》的研究发现:只要一周睡不够(每天不足 6 小时),身体里就有 711 个基因表达被扰乱。这些基因负责免疫、炎症、生物钟、代谢、抗氧化……
都是维持身体正常运作的大角色。
正常时,基因会像交响乐团一样按节奏工作;睡眠不足节奏就乱了,让一部分原本有规律运行的基因失去节奏,整体协调性变差。
如果多次睡眠剥夺,例如经常通宵熬大夜,被扰乱的基因数量会进一步飙升——细胞集体扛不住,开始全面出问题。

图源:丁香医生设计团队
熬夜导致的睡眠不足,还会破坏线粒体的正常工作,加速衰老和疾病到来。
线粒体是细胞的能量工厂,它们通过有氧代谢,把营养和氧气转化成能量。但就像氧气罐上贴着“易爆”标签一样,不受控的燃烧是危险的[6]。
细胞里的能量转换若控制不当,就会造成氧化应激,不仅可能伤害细胞,还会促发衰老和退行性疾病。
睡眠,可能正是身体给线粒体“降温泄压”的方式。
牛津大学研究团队发现,大脑中的线粒体压力过大时,会触发睡眠[5]。(“生理级别犯困”的真正原因)

图源:丁香医生设计团队
睡眠不足时——
调控睡眠的神经元里,线粒体会变小、断裂,表现出能量系统进入应激状态的迹象[5]。

从左到右是睡眠充足-睡眠不足-恢复睡眠后,调控睡眠的神经元线粒体数量
睡眠不足时,线粒体碎裂、变小

图源:丁香医生设计团队
如果继续不睡,损伤不能修复,进一步积累。
研究者指出,线粒体的压力状态,会导致整个大脑的氧化应激水平升高——而氧化应激,也正是衰老加速的“元凶”。
这为一个长久的猜想提供了理论基础——长期睡眠不足会缩短寿命。
长期熬夜补不回来
最好别熬夜
偶尔熬夜,身体是有“自我修复”能力的。
短期睡眠不足后,身体会自动拉长和加深之后几天的深度睡眠,试图“还上这笔睡眠债”[10]。
只要别连续熬,配合调整作息、减轻压力、吃得好睡得香,生理状态可以慢慢回正。
真正可怕的,是长期熬夜、反复欠债不还:
● 生物钟被长期打乱,修复机制也开始罢工;
● 激素、免疫、代谢通通乱套,进入恶性循环;
● 即使睡再多、吃再好,也难以完全补回来。
身体,是我们这一生最亲密的伙伴,学会爱护它,也是在学会爱我们自己。
从今晚开始,别熬夜了。










